AUCTORES
Globalize your Research
Case Report | DOI: https://doi.org/10.31579/2641-0419/495
1Department of anaesthesiology and critical care, SGT Medical college, Budhera, Gurugram, Haryana, India.
2Department of Neurosurgery, SGT Medical college, Budhera, Gurugram, Haryana, India.
3Department of PSM, SGT Medical college, Budhera, Gurugram, Haryana, India.
4Department of Cardiac Anaesthesia, GIPMER, New Delhi.
5Department of cardiology and Medicine, SGT Medical college, Budhera, Gurugram, Haryana, India.
*Corresponding Author: Vishnu Datt, Department of anaesthesiology and critical care, SGT Medical college, Budhera, Gurugram, Haryana, India.
Citation: Vishnu Datt, Priyanka, Diksha Datt, Divya, Shivam Singla, et al., (2025),Perioperative Management of an 86-year Female with Left Ventricular Aneurysm with Severe Mitral Regurgitation and LV dysfunction with COPD and Acute Renal Dysfunction A Case Report and a Systematic Review, J Clinical Cardiology and Cardiovascular Interventions, 8(10); DOI:10.31579/2641-0419/495
Copyright: © 2025, Vishnu Datt. This is an open access article distributed under the Creative Commons Attribution License, which permits unrestricted use, distribution, and reproduction in any medium, provided the original work is properly cited.
Received: 27 June 2025 | Accepted: 10 July 2025 | Published: 16 July 2025
Keywords: old age; Copd; Lv aneurysm; severe Mr; aki; systolic dysfunctions; ga; spine surgery; tee; pac
The aged population can frequently suffer from several comorbidity-like cardiovascular lesions (CAD, hypertension, valvular lesions, ventricular dysfunction, AF, CHF, peripheral vascular disease), respiratory diseases (COPD, asthma), obesity, DM, and renal dysfunctions. The presence of this heavy comorbidities burden can increase the risk of perioperative complications like MI, arrhythmias, CHF, low cardiac output syndrome (LCOS), stroke, respiratory failure and AKI, prolonged hospital stays, and even mortality. Therefore, a thorough preoperative assessment of the severity of each associated lesion and its optimization plays a crucial role in the successful perioperative management in elderly patients undergoing non-cardiac surgery. The guidelines for perioperative anaesthetic management for isolated cardiac and the other mentioned lesions are well described in the literature. However, guidelines for perioperative anaesthetic management of an elderly with a heavy comorbidity burden involving multiple high-risk cardiac disabilities, respiratory, and renal lesions have not been well described and so pose a big challenge. A balanced general anaesthesia (GA) technique with ASA standard and advanced monitoring with PAC and TEE should be tailored to the severity of the patient’s comorbidity and the surgical procedure, to provide hemodynamic stability with proper guidance of fluid, inodilators or vasopressor therapy. We describe a successful perioperative anaesthetic management of an 86-year-old female with COPD, left ventricular aneurysm, severe mitral regurgitation and severe LV dysfunction with akinetic basal inferior LV wall undergoing posterior decompression with fixation, and laminectomy with discectomy and fusion. The successful surgical outcome necessitates, a multidisciplinary approach involving a cardiologist, cardiac anaesthetist, neurologist, neurosurgeon, radiologist, and intensivist, along with the expert’s consensus due to lack of guidelines for these coexisting multiple systemic lesions, and advanced monitoring including PAC and TEE to guide fluid and drug therapy and to assess and optimize the cardiac functions. Even the availability of an expert cardiac anaesthetist with good knowledge of the interpretation of parameters drawn from PAC and TEE and heightened vigilance is crucial for a successful surgical outcome.
Elderly patients undergoing non-cardiac surgery might have several comorbidities involving cardiovascular conditions like hypertension, coronary artery disease, and heart failure, valvular lesions, as well as respiratory conditions like COPD and asthma with cor pulmonale, diabetes, kidney dysfunctions, and cognitive impairment.[1,2] These associated comorbidities have a significant impact on the cardiac as well as non-cardiac surgical outcome.[3] Among these cardiovascular diseases particularly increase the risk of perioperative complications like myocardial ischemia (MI), congestive heart failure(CHF) atrial fibrillation (AF) of valvular or nonvalvular origin (CHA2 DS2 Vasc stroke score), cardiogenic shock, and stroke and mortality.[3] Whereas COPD can cause respiratory failure during or after the surgery, and acute kidney injury may be further aggravated with the use of nephrotoxic drugs like aminoglycosides and NSAIDS. Such patients are at increased risk of perioperative complications, prolonged hospital stays, and even mortality. Overall, the perioperative major adverse cardiac events (MACE) have declined recently to 6.9% in elderly of > 85 years but increases in perioperative ischemic stroke warrant further study [4]. These data highlight risks of non-cardiac surgery among the elderly that warrant increased attention to improve perioperative outcomes. Therefore, thorough preoperative assessment and management of these lesions are crucial for optimizing outcomes.
Since there are no high-grade recommendations available on the perioperative anaesthetic management of elderly patients with LV aneurysm and reduced left ventricular ejection fraction (LVEF), with severe ischemic mitral regurgitation (MR), and COPD and acute kidney injury (AKI) undergoing major spine surgical procedure. The anaesthesiologists must extrapolate data from non-surgical studies to manage these patients. Even fluid administration guidelines with respect to the body weight, fasting period, and severity of surgical procedures cannot be followed very strictly as inadequate preload can decrease cardiac output (CO), and over volume can precipitate heart failure and lung congestion. We describe the successful perioperative Anaesthetic management of an 86-year female with a weird combination of multiple comorbidities including left ventricular aneurysm, severe Mitral regurgitation, and LV dysfunction with akinetic basal wall, and COPD and AKI, who has undergone a posterior decompression with fixation, and laminectomy with discectomy and fusion after obtaining an informed consent. As there is a lack of recommendations in the literature on the perioperative management of the elderly with such a heavy comorbidity burden, the clinical presentation and pathophysiology of the individual lesion were considered, and experts’ consensus and a multidisciplinary approach played a vital role in the successful surgical outcome. A balanced general anaesthesia (GA) technique with ASA standard and advanced monitoring with pulmonary artery catheter (PAC) and trans-oesophageal echocardiography (TEE) were employed to achieve perioperative hemodynamic stability. [5,6].
An 86-year-old female, weighing 47 kg diagnosed as Prolapsed Intervertebral Disc (PIVD) for the last 3 months was posted for an urgent posterior decompression with fixation, and laminectomy with discectomy and fusion. The patient's history was suggestive of back pain radiating to both lower limbs and unable to stand and even affecting bowel and bladder control. She was also a known case of hypertension for 2 years but not compliant with any medication. She was a regular smoker for the last 15 years. She was in New York Heart Association (NYHA) Class III cardiovascular disability for the last 3 months, as she had dyspnoea (shortness of breath) and fatigue, palpitations, and angina with less than ordinary physical activity, but did not seek any medical advice. She was also hard of hearing, and MET was 4 suggestive of an increased risk of cardiac complications or arrest during surgery. She was referred to neurosurgery department.
On examination, pulse rate was 84beat/min and blood pressure (BP) was 138/88 mmHg. She was edentulous and airway assessment revealed MPG class 2, with adequate neck movements and mouth opening of more than 3 fingers. The examination of the cardiorespiratory system revealed bilateral diffuse rhonchi without any added sounds, and the apex beat was in the 6th ICS in the midaxillary line, and auscultation of the heart revealed a holosystolic murmur at the apex of the heart suggestive of mitral regurgitation with enlarged left ventricle (LV). Her muscle power in upper limbs and lower limbs were 5/5 and 2/5 respectively.
She was a patient of PIVD of the lumber region with a very heavy comorbidity burden including cardiovascular, respiratory and renal system. So, a thorough preoperative evaluation was required. Laboratory investigations revealed HB of 10.3gm%, total leucocyte count of 10260 cells/cumm, platelets of 2.43 lacs/cumm, HBA1c- 6.5%, total bilirubin/direct/ indirect were 0.2/0.1/0.1mg/dl respectively and SGOT/PT 20/12U/L respectively, ALP of 85 u/l, serum sodium/ potassium were 136/ 5.1 Meq /L respectively, total proteins were 5.65 gm/L, and serum calcium was 9.4 mg/dl, serum creatinine 1.43 mg/dl and blood urea 76.2 mg/dl and international normalized ratio(INR) was 0.97 and PT was 12.1 seconds. Electrocardiogram (ECG) showed LVH and LV strain (ST/T changes), and left bundle branch block (LBBB) (M pattern QRS) with frequent VPCs. [Figure-1] Chest X-ray AP view showed mild cardiomegaly with suspected focal lateral bulge arising from the left heart border suggestive of LV aneurysm. and normal lung fields. [Figure-2] she was not subjected to the breath-holding time and pulmonary function test due to a risk of fatal arrhythmias in the presence of severe cardiac disability. Even cardiac cath study and CT angiography to reveal coronary artery lesions could not be performed due to renal dysfunction, bronchospasm and low EF. Transthoracic echocardiography revealed Mild LVH, moderate mitral regurgitation, LV aneurysm and thinning of the posterior, inferior wall and at the basal segment, and akinesia of the basal, inferior and posterior wall, and hypokinesia of the inferior wall and a regional wall motion score index (WMSI) >1.7 suggestive of impending heart failure. In addition, EF was 30% and mitral inflow velocity revealed E > A, suggestive of grade 1 diastolic dysfunction and there was no thrombus in the LV aneurysm.

Figure-1: 12 Lead Electrocardiogram (ECG) shows generalised ST, T changes and Left bundle branch block (M pattern of QRS) (2 arrows), The ST/T strain changes) (one Arrow), most likely a combination of LVH and MI.
LVH- left ventricular hypertrophy, LV- left ventricle

Figure-2: Chest X-ray AP view shows mild cardiomegaly with suspected focal lateral bulge arising from the left heart border (arrow) suggestive of LV aneurysm. The carina is on the right side, but lung fields are normal.
Ideally, the patient should be referred for cardiac surgery for the LV aneurysm as posterior or postero-basal aneurysm endoventricular patchplasty using a ventriculotomy or through a transatrial approach with bovine pericardium, along with the mitral valve repair or replacement, and coronary revascularization before non -cardiac surgery, or even a combined cardiac and spine procedure to avoid the cardiac complications or sudden death.[7] However, considering the old age (86 year), heavy comorbidity burden (COPD, AKI) the cardiac surgery was denied by the several tertiary care cardiac centres. MRI dorsolumbar spine revealed spondylitis changes at multiple levels, described as grade-2 anterolisthesis of L4 over L5 vertebrae with bilateral partial interarticularis defects of L4 vertebrae suggestive of spondylolisthesis. In addition, there was a spinal canal narrowing with ligamentum flavum hypertrophy, multilevel intervertebral disc desiccation and degeneration and compression of the spinal cord at D10 – D11 level with compressive myelopathy at this level. Given the severe progressive neurological dysfunction, it was decided to post her for the emergency posterior decompression with fixation with laminectomy with discectomy and fusion. Detailed counselling was done and informed high-risk consent was obtained from her and relatives in view of the heavy comorbidity burden and old age.
According to some authors, dexmedetomidine and budesonide potentially prevent bronchospasm during procedures and reduce cough, improving patient comfort and tolerability of the surgical procedure and so, on the day of surgery, she received a pretreatment with nebulization with budesonide and dexmedetomidine (0.5mcg/kg) prior to the induction of general anesthesia. [8,9]
In the operation room (OR), standard ASA monitoring was instituted with pulse oximetry, ECG with automated ST segment analysis, non-invasive BP monitor, and ETCO2. Her basal HR was 96bpm with few ventricular premature contractions (VPCs) and arterial oxygen saturation was 93% on room air that improved to 99% on preoxygenation. A 20 G cannula was inserted in the right radial artery for invasive arterial pressure and serial blood gas analysis. Infusions of dobutamine (5mcg/kg/min) and nitroglycerine (NTG) (0.5 mcg/kg/min) were started as cardiac support to maintain cardiac contractility and reduction in systemic vascular resistance(SVR) and pulmonary vascular resistance (PVR) before induction of anaesthesia. GA was induced with etomidate 0.3 mg/kg body weight, midazolam 2mg, fentanyl 2mcg/kg, and vecuronium 0.1 mg/kg body weight was used to facilitate endotracheal intubation with Flexometallic 7.5 mm, ID tube, fixed at 20cm. Lignocaine 60 mg intravenous was given to attenuate laryngoscopy stress response. Magnesium sulphate (2gm) in normal saline was infused over 30 min as a prophylaxis against arrhythmias. 7 FG, pulmonary artery catheter inserted via the right internal jugular vein to assess the PAP, MPAP, CVP, PCWP, CO, CI, PVR, SVR and PVRI and SVRI and left ventricular stroke work index (LVSWI), right ventricular stroke work index (RVSWI), and mixed venous oxygen saturation(SvO2) to guide the fluid and vasoactive agents and to assess the efficacy of the instituted therapy. The perioperative hemodynamics were well maintained as shown in Table-1.
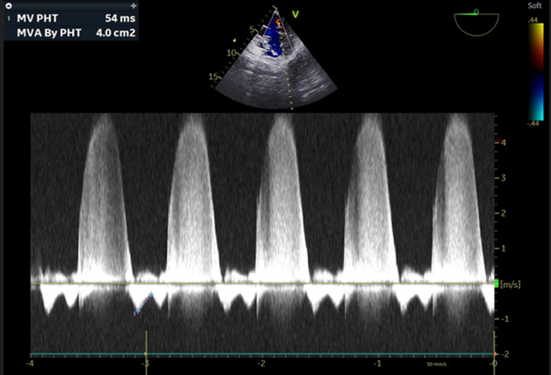
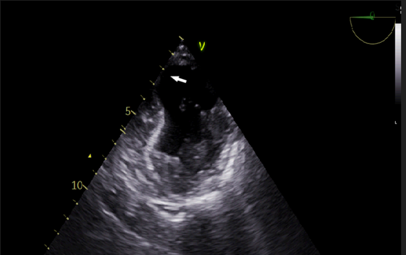
PCWP also revealed a large A wave suggestive of mitral regurgitation. A gastric tube was inserted to aspirate the stomach secretions and air and removed, and an adult TEE probe (GE, 6TC-RS, Vivid T9 v205, Norway) was inserted. Anesthesia was maintained with 60% oxygen in the air, sevoflurane 0.75- 1.5 % and vecuronium infusion (2mg/hr) with intermittent fentanyl and midazolam boluses. [9] She was positioned prone for the surgical procedure. External defibrillator pads were applied before turning the patient prone, and all resuscitation and antiarrhythmic drugs were kept ready to tackle an inadvertent arrhythmic event. The TEE was performed in the supine position and continued in the prone position with a little technical difficulty. TEE revealed an EF of 36%, fractional shortening (FS) of 17 Percent sign after inodilator support, severe MR with central jet, MR flow velocity > 5 m/sec and vena Contracta of 0.8mm(Figure 3a,b) and CO of 2.65 L/M2, mitral valve area of 4.3cm2 by planimetry, LA -31mm. (Figure 4) In addition LV basal wall aneurysmal, hypokinesia of basal, posterior and inferior LV wall, and no thrombus in LV(Figure 5a,b) and LV type 1, diastolic dysfunction (E Less-than sign)
| Parameter (units) | Preoperative Vitals | Intraoperative Vitals | Postoperative Vitals |
| HR, /min | 84 | 96 | 81 |
| BP(mmHg) | 120/58 | 100/60 - 108/75 | 110/68 |
| MAP (mmHg) | 78.7 | 85- 65 | 82 -65 |
| SpO₂ (%) | 92% on RA | 98 | 100% |
| PAP, (mmHg) | — | 40/20 (Mean: 27) | — |
| CVP, mmHg | — | 13–14 | — |
| PCWP,( mmHg) | — | 21 | — |
| MPAP,( mmHg) | — | 18 | — |
| SVR,( dyn·s/cm⁵) | — | 1841- 1260 | — |
| CO,( L/min) | — | 2.65 | — |
PVR,( dyn·s/cm⁵) EF SvO2 | — 30% - | 272 to 181 45% 65% | — 45% - |
Table 1: Showing hemodynamic data before, during and after surgery
HR-heart rate, BP-blood pressure, MAP- mean arterial pressure, SPO2- arterial oxygen saturation, PAP-pulmonary artery pressure, CVP- central venous pressure, PCWP- Pulmonary Capillary Wedge Pressure, MPAP- mean pulmonary artery pressure, SVR- systemic vascular resistance, CO- cardiac output, PVR- pulmonary vascular resistance, EF- ejection fraction, RA- room air, SvO2- mixed venous oxygen saturation PCWP also revealed a large A wave suggestive of mitral regurgitation. A gastric tube was inserted to aspirate the stomach secretions and air and removed, and an adult TEE probe (GE, 6TC-RS, Vivid T9 v205, Norway) was inserted. Anesthesia was maintained with 60% oxygen in the air, sevoflurane 0.75- 1.5 % and vecuronium infusion (2mg/hr) with intermittent fentanyl and midazolam boluses. [9] She was positioned prone for the surgical procedure. External defibrillator pads were applied before turning the patient prone, and all resuscitation and antiarrhythmic drugs were kept ready to tackle an inadvertent arrhythmic event. The TEE was performed in the supine position and continued in the prone position with a little technical difficulty. TEE revealed an EF of 36%, fractional shortening (FS) of 17 Percent sign after inodilator support, severe MR with central jet, MR flow velocity > 5 m/sec and vena Contracta of 0.8mm(Figure 3a,b) and CO of 2.65 L/M2, mitral valve area of 4.3cm2 by planimetry, LA -31mm. (Figure 4) In addition LV basal wall aneurysmal, hypokinesia of basal, posterior and inferior LV wall, and no thrombus in LV(Figure 5a,b) and LV type 1, diastolic dysfunction (E Less-than sign

Figure-3a: Colour Doppler of the modified ME 4 C view (0°) of TEE shows central jet of MR reaching to the roof of the LA. The vena contracta of 0.8 cm and LA size of 3.1 cm. As LA is still non-compliant (normal size) the TEE findings are suggestive of acute severe MR. it is to be noted that the tenting height was 1.2 cm, indicating significant leaflet tethering and abnormal leaflet motion during systole as a result of MI. [labelled]
ME4C – mid esophageal 4- chamber view, TEE- trans esophgeal echocardiography, LA- left atrium, MI- myocardial ischemia

Figure-3b: The ME4C view (0°) 2D, TEE image displays that the CWD of the mitral valve revealed a flow velocity of 5.4 m/sec. and the velocity is thick, well enveloped and triangular suggestive of severe MR.
ME4C- mid esophageal 4 chamber view, CWD- continuous wave doppler, MR- mitral regurgitation

Figure 4: Deep TG LAX view of TEE showing the PWD interrogation of the aortic valve and LVOT and tracing the spectral display and measuring the VTI (green thick line) and R-R distance (green dotted lines). The machine calculates the SV and CO based on the entered value of the LVOT diameter and VTI and multiplying VTI and HR (R-R distance) on the machine and so CO and CI are calculated automatically by the TEE computer. In this patient the CO is 2.62 L/min and SV was 31 ml suggestive of severely reduced CO
CO= SV x HR,
SV= π x (LVOT D/2)2 x VTI
OR SV= CSA LVOT x VTI LVOT
TG LAX- trans gastric long axis, TEE -tranesophageal echocardiography, PWD- pulse wave doppler, LVOT- left ventricle out flow tract, VTI- velocity time integral, SV- stroke volume, CO- cardiac output, CI- cardiac index

Figure-5a: TG basal LV SAX view, 2D- TEE imaging shows an inferior- posterior wall LV aneurysm (white arrow) with wall thinning and MV in systole.

Figure-5b. Video of TG- basal LV SAX view – 2D TEE imaging shows the thin and aneurysmal inferior wall of the LV, most likely due to CAD involving PDA branch of RCA or LCx. In addition, mild to moderate concentric LVH is also confirmed on TG mid papillary view.
TG basal LV SAX- trans gastric basal left ventricle short axis, 2D- 2 -dimensional, CAD- coronary artery disease, PDA- posterior descending artery, RCA- right coronary artery, LCx – left circumflex artery

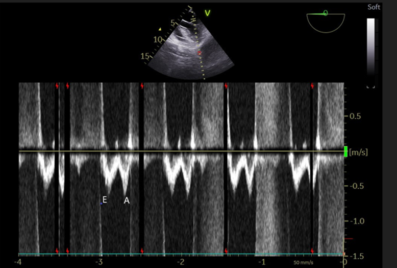
Figure-6: Mitral inflow velocity revealed E wave < A>
In addition, the perioperative hemodynamic parameters and cardiac functions and volume status were also assessed using IVC size (1.7 cm) with >50% collapsibility in inspiration, biventricular filling and CO, which remained stable throughout the procedure and the heart rate was maintained between 80-90 beats/min in view of severe MR. TEE also confirmed the improvement in LV contractility and EF following the administration of dobutamine and NTG. Table -1 and (Figure 5b-video 1) The intraoperative ABG analysis revealed a pH- 7.31, PCO2- 51 mmHg, Pao2- 118 mmHg, SaO2 99%, Na+ -135 mmol/L, K+ 4.5meq/l, Ca+ 0.89mmol/L, glucose-118mg/dl, Hct- 46%, HCo3- 21.9mmol/l, BE-8.4 mmol/l and the values were acceptable in view of the COPD. The procedure lasted for 6hrs. Total blood loss was 450 ml, and 1.5 L of normal saline and one unit of fresh packed red blood cell transfusion were given, and total urine output was 1.5 L. At the end of the surgery, she was turned to supine, the neuromuscular block was reversed with standard doses of neostigmine and glycopyrrolate and she also required sugamadex (100 mg) for complete recovery and was smoothly extubated in OR. Inotropes were continued and tapered slowly over 6-8 hours and PAC was also removed in the PICU after 2 hours but the sheath was left in situ. Postoperative multimodal pain management was achieved using tramadol, i.v. paracetamol (1gm), fentanyl (25 mcg) boluses, transdermal buprenorphine patch (5mg). The patient was observed overnight in the postanaesthetic care unit and discharged on the 7th postoperative day with the instructions to attend the OPD for follow-up after one week.
The guidelines on the perioperative anaesthetic management of patients with such a complex clinical scenario with multiple comorbidities are lacking. The clinical spectrum of such a patient is highly complex and variable, so it is not possible to be prescriptive. Often, the anesthetic management is based on clinical experience with the technique and availability of the resources like PAC and TEE and the institutional protocol. Perioperative management is driven by the expert’s consensus, involving a multifaceted- patient-centred approach, tailoring the anesthetic plan to individual needs and risk factors and the complexity of the procedure, and potential adverse events, and also balancing the benefits and risks of different techniques to optimize patient outcome.[10,11] The pathophysiology and the clinical presentation of the individual lesion should be considered for planning the anesthesia technique to achieve the hemodynamic goals. Therefore, the expert’s consensus plays a vital role in successful perioperative management. Finally, the management involves a multidisciplinary approach comprisingcardiologist, neurosurgeon, radiologist, pulmonologist, cardiac surgeon and cardiac anesthetist, and intensivist for the postoperative hemodynamic management. It is worth describing here the impact of each lesion on the hemodynamics and the patient’s outcome including major adverse cardiac events (MACE) and mortality.
Preparation of the OR
In preparation of the OR, several key steps are crucial based on the thorough patient clinical assessment, type of surgical procedure, and preparation of the emergency equipment and drugs. First and foremost is the availability of an expert in dealing with such patients. In addition to standard ASA monitors, arrangements for advance monitoring including intra-arterial blood pressure and CVP and PAC, and TEE or non-invasive CO are essential for the assessment of the cardiac functions, hemodynamics and to identify the complications, and BIS for depth of anaesthesia. [1,2,3] A pacemaker facility to counter complete heart block and defibrillator for SVT, AF or VT or VF should be available. Monitoring with evoke potential SSEM, and MEP for spine surgery is essential as this patient already had decreased power in lower limbs. Essential drugs and equipment to manage the hemodynamics and antiarrhythmics should be available like beta- blockers(metoprolol, atenolol, esmolol), calcium channel blockers (diltiazem, verapamil), ivabradine, amiodarone, lignocaine, magnesium sulphate, calcium gluconate, dexmedetomidine, and inotropes and vasopressors like dobutamine, milrinone, levosimendan, epinephrine, norepinephrine, vasopressin, phenylephrine, or even nitroglycerine or sodium nitroprusside, and labetalol to control the hypertension. Lusitropic agents promote cardiac relaxation and efficiently fill the LV during the diastole including, NTG, dobutamine, milrinone, levosimendan and CCB are essential to attenuate diastolic dysfunctions and PAH and play a vital role in maintenance of cardiovascular stability.[15]
Lastly, there should be a backup plan for mechanical circulatory support like intra-aortic balloon counter pulsations (IABP), left ventricular assist devices (LVADs), right ventricular assist devices (RVADS) and extracorporeal membrane oxygenator (ECMO) to manage the refractory hemodynamic deterioration due to LV systolic and diastolic dysfunctions or even severe MR or LV aneurysm despite the goal-directed medical therapy (GDMT).[16,17,18]
Impact of ischemic Mitral Regurgitation (IMR):
Patients with ischemic mitral regurgitation (IMR) experience a higher risk of perioperative congestive heart failure (CHF), arrythmia, perioperative MI, cardiogenic shock and mortality.[19,20] LV basal, inferior wall aneurysms secondary to MI can result in clinically significant MR. IMR develops due to outward displacement of the papillary muscles causing tethering and systolic tenting preventing the coaptation of the leaflets due to apical shifting of the coaptation point away from the mitral annulus, or due to dilatation of the mitral annulus, or direct distortion of the leaflets, or even reduced contractility of the posterior mitral annulus due to scarring of the basal LV myocardium.[19] The IMR is triggered by advanced age, posterior-inferior MI, spherical LV, triple vessel CAD, large LA, Low EF and remodelling of the LV due to MI. [19,19]The perioperative IMR might get deteriorated due to the fresh MI precipitated by arrhythmias, impaired myocardial oxygen imbalance due to increased oxygen demand with systemic hypertension, wall stress, tachycardia or with sudden increase in contractility, preload and afterload (systemic vascular resistance), or due to decreased myocardial oxygen supply in anaemia (blood loss), systemic hypotension causing reduction in coronary perfusion pressure, coronary stenosis with lack of collaterals.[19] The Severe MR can further compromise LV function, decrease CO result in systemic hypotension impacting the systemic perfusion, increase LA pressure, PAH, RV or biventricular dysfunction, and worsen heart failure or even sudden death.[20]
LV Volume overload due to severe MR or intravascular volume overload can further dilate the mitral annulus thus increasing the effective regurgitation orifice area (EROA), regurgitation fraction (RF) and regurgitation volume (RV) and worsening the IMR.[19] Effective management requires addressing both the LV aneurysm and the MR to optimize patient outcomes. The presented patient also developed severe MR with central Jet as a result of valve tenting and mitral annular dilatation due to an aneurysm, though morphologically leaflets appeared normal. The perioperative hemodynamic management focuses on increasing forward CO and minimising the regurgitant volume (<30>0.4cm2, RV >60 ml, regurgitation fraction >50%, and VC >8mm[21] The valve interventions should be considered in very symptomatic severe MR before the elective NCS to reduce the perioperative risk.[22] The transcatheter edge-to-edge repair (TEER) can be considered and following mitral TEER, it is reasonable to perform NCS after a successful TEER.[1], The presented elderly patient with heavy comorbid burden has a higher perioperative surgical risk of morbidity and mortality, making it unsuitable for surgical interventions and denied at several tertiary care centers, even TEER could not be performed due to financial constraints and so increasing the additional challenge for perioperative hemodynamic management during spine fixation surgery. On the contrary, asymptomatic patients with good LV function with PA pressures < 50>55% are reasonably suitable for elective non-cardiac surgery.[23] In the IMR it is prudent to understand the aetiology, severity and hemodynamic consequences of MR prior to the NCS, as low EF, AF and PAH may contribute to the increased perioperative risk. In addition, postoperative anticoagulants should be considered in patients with new-onset AF in NCS to prevent increased long-term stroke and mortality. [24,25]
Impact of LV systolic and diastolic dysfunctions:
The LV systolic and diastolic dysfunctions triggering is multifactorial including CAD, systemic hypertension, valvular heart lesions, malignant arrhythmias, and myocardial disease i.e. hypertrophic or dilated cardiomyopathy and myocardial inflammation and infection(endocarditis) [26,27] Systolic dysfunction is always a risk factor for the development of perioperative MACE including cardiogenic shock, LCOS, MI, arrhythmias and sudden death.[28,29] The risk factors for perioperative morbidity and mortality are recent MI, CHF, peripheral vascular disease, angina pectoris, diabetes mellitus, hypertension, hypercholesterolemia, dysrhythmias, obesity, smoking, and renal dysfunctions.[30,31]
Treating the underlying cause is of extreme importance as some etiological conditions for systolic dysfunctions may be reversible like CAD, cardiomyopathies induced by alcohol, tachycardia, and control of blood pressure can also help prevent further deterioration.[32,33,34] In patients with the acute coronary syndrome (ACS) for elective NCS, ideally, coronary revascularization is recommended and NCS should be deferred to prevent the perioperative MACE, also the chronic CAD with left main coronary >50% lesion and even hemodynamically stable, it’s appropriate to consider revascularization and deferral the elective NCS to avoid the MACE. However, in non-left main CAD for elective NCS, revascularization is not recommended to reduce the MACE. [34,35]
Usually, patients with severely reduced EF or diastolic dysfunctions are put on the combination of angiotensin-converting enzyme (ACE) inhibitors or angiotensin II receptor blockers (ARBs) with a beta blocker (carvedilol, metoprolol). If symptoms don’t improve with a maximal dose of ACE inhibitor or ARBs, an angiotensin receptor-neprilysin inhibitor may be substituted. Other medications like hydralazine, nitrates, and mineralocorticoid receptor antagonists such as spironolactone, ivabradine, and digoxin in refractory patients also be required.[36] Recently, sodium-glucose Co transporter 2 inhibitors(SGLT2) inhibitors have become the cornerstone of heart failure management. They reduce the risk of cardiac vascular death and hospitalization for heart failure. Even other adverse outcomes with or without type-2 diabetes or even in patients with chronic renal diseases are prevented. The most likely mechanism is improved cardiac energy metabolism, decreased inflammation, better renal functions and positive erythropoiesis. In addition, these block the reabsorption of sodium in the renal proximal tubules resulting in natriuresis and osmotic diuresis due to glucosuria with blood pressure lowering effect. Sota-gliflozin (200-400 mg/day) with a combined SGLT 1&2 inhibition; 2 action leads to excretion of glucose in urine and 1 delays the intestinal glucose absorption. However, these should be discontinued for 3-4 days before the surgery to avoid metabolic acidosis and euglycemic ketoacidosis, prolonged hospital stay and death.[37,38] All cardiac medications should be continued on the day of the surgery except ACE inhibitors or ARBs to potentially reduce the risk of intraoperative hypotension which might drive postoperative complications such as acute kidney injury, myocardial injury, or stroke.[38, ] Regional anaesthesia technique is often a viable option with reduction of afterload and stress response of the surgery and so preferred in severe LV dysfunction. The key considerations in low EF or systolic dysfunctions are to maintain cardiac contractility with an infusion of milrinone or dobutamine or /and levosimendan, and optimization of the preload( CVP 0f 7-8 mmHg and PCWP of 10-12 ), and sinus rhythm at HR of 60-70 bpm for adequate LV filling and afterload (SVR ) should be reduced to minimize the LV workload and avoid conditions that could exacerbate ischemia like tachycardia, hypertension as well as hypotension, anaemia, surgical stress and AKI and COPD.[40,41]
In addition, maintain the adequate myocardial oxygen supply, with the lowest feasible myocardial oxygen demand to avoid the MI and further deterioration of the LV contractility and stiffness. Therefore, it is imperative to maintain adequate analgesia, depth of anaesthesia and volume status, and additional use of beta blockers and vasopressors.[32] If general anaesthesia is necessary then a balanced anaesthesia technique comprising etomidate (0.2-0.3 mg/kg) or ketamine (2mg/kg), midazolam (0.05 mg/kg), fentanyl (2 mcg/kg) or remifentanil (2-5mcg/kg), and sevoflurane (1-1.5 MAC) and a neutral muscle relaxant like vecuronium (0.1mg/kg) or atracurium (0.5 mg/kg or cisatracurium (0.2 mg/kg) should be preferred. In addition, the use of isoflurane and sevoflurane also has myocardial protection effect via the pharmacological cardiac preconditioning and thus reduces myocardial stunning, attenuates inflammatory responses, and improves post-operative cardiac function. [12,3,4,5] Some patients with overloaded ventricles may require diuretic therapy. The intraoperative monitoring is determined by the severity of LV dysfunction and the surgical procedure. The standard ASA monitoring (ECG, SPO2, BP, ETCO2, temperature) as per case is sufficient or may require extensive monitoring including PAC with CVP, invasive arterial BP, BIS, NIRS and even TEE. The presented patient was also suffering from severe LV systolic and grade 1 diastolic dysfunction and managed with the mentioned anaesthesia technique and monitoring. Echocardiography, as per AHA/ACC guidelines is the single most useful diagnostic modality in the evaluation of a patient with systolic/ diastolic dysfunctions. However, TEE has been increasingly used as a perioperative monitoring tool in patients with high-risk factors or undergoing high-risk noncardiac procedures.[45] TEE provides real-time detailed imaging of the heart, and allows for continuous monitoring of cardiac output, filling pressures, and ventricular function, which are vital for guiding fluid management and drug therapy during surgery in this subset of patients.[46,47]
| S. No | Parameter | Normal | Mild | Moderate | Severe | Notes |
| 1. | EF | 55–70% | 41–49% | 30–40% | <30> | |
| 2. | FAC | >35% | 25–35% | 20–25% | <20> | |
| 3. | FS | 25% | 16–25% | 15-19% | <15> | |
| 4. | SV | 70-100 ml | ||||
| 5. | MAPSE | 12-15 mm | 10–14 mm | <8> | Specificity= 82% Sensitivity =95% | |
| 6. | GLS | >18% | <16> | |||
| 7. | dp/dt [mmHg/s] | >1200 | 800- 1200 | <800> | <500> |
Table 2: Echocardiography Parameters Used for Assessment of LV Systolic Dysfunction [47,48,49]
*Formulas/Notes:
*EF (Ejection Fraction) = (LVEDV - LVESV) / LVEDV × 100
*FAC (Fractional Area Change) = (EDA - ESA) / EDA × 100
*FS (Fractional Shortening) = (LVEDD - LVESD) / LVEDD × 100
*MAPSE = Mitral Annular Plane Systolic Excursion
*GLS = Global Longitudinal Strain via speckle tracking
Systolic index of contractility= dp/dt (P2 − P1 × 1000/Δt (time for velocity to rise to 3 m/s from 1 m/s) by MR flow velocity
SV (Stroke Volume) = CSA × VTI (velocity time integral [VTI]) & (LVEF) represents SV as a percentage of end-diastolic volume.
LV diastolic dysfunctions or heart failure with preserved EF( HFpEF) is called as diastolic heart failure with reduced LV relaxation or increased stiffness in the diastole that limits the proper filling of LV. Diastolic dysfunctions can be adequately assessed by TEE using the following parameters; mitral inflow velocity, mitral annular tissue doppler interrogation(TDI) for e’ and a’ prime, LA volume, TR velocity, pulmonary venous flow velocity.[48] The criteria to determine the severity of diastolic dysfunctions have been described in Table-3.[49,50,51] However, it’s not possible to provide the details of these diastolic dysfunction parameters in this current review. It has been reported that regional anesthesia or neuraxial block reduces the 0-30 days mortality in patients undergoing surgery with an intermediate or higher cardiac risk. [6] The important hemodynamic goals are to maintain MAP > 65 mmHg, low HR [60-70], and maintain SVR and contractility, sinus rhythm and normovolemia, and avoid tachycardia and myocardial ischemia. Treatment with beta-blockers or non-dihydropyridine calcium-channel blockers has been proposed to prevent tachycardia and improve LV diastolic filling. Patients with severe diastolic dysfunction may require more aggressive management, including inotropic support, vasopressors, or mechanical ventilation and TEE can be useful in early diagnosis and management of diastolic dysfunctions.[51] The lusitropic agents like calcium channel blockers, ACE inhibitors, inhalational agents or inodilators (milrinone, dobutamine, levosimendan) and NTG can be utilised to ameliorate the perioperative diastolic dysfunction. [53,54]
| Echocardiography Parameter | Description |
| Average E/E' | > 14 |
| Septal E' / Lateral E' | < 7> |
| Left Atrium Volume Index (LA Volume Index) | > 34 ml/m² |
| A-ar Duration (A) | > 30ms |
| L-wave Velocity &TR velocity | > 20 cm/s & > 2.8 m/s |
| Pulmonary Vein S/D Ratio (PV-S/D) | < 1> |
| Mitral E-deceleration Time | < 150ms> |
| Grade of Diastolic Dysfunction | Description |
| Grade I (Impaired Relaxation) | E/A < 1> |
| Grade II (Pseudo normal) | E/A 0.8-1.5, appears normal reverses with Valsalva |
| Grade III (Reversible restrictive) | E/E' > 2.0, E-deceleration < 150ms> |
| Grade IV (Irreversible restrictive) | E/A > 2.0 even with Valsalva, high filling pressure |
E = Mitral Inflow Velocity; A = Mitral Inflow Velocity (A-wave);
S/D = Pulmonary Vein Flow Velocity systolic and diastolic; PV = Pulmonary Veins Flow Velocity, ar – atrial reversal wave, E,- e prime wave on mitral annular TDI
Table 3: Echocardiography Parameters used to Diagnose LV Diastolic Dysfunction and Grade of Diastolic Dysfunction, 50% of the above are suggestive of Diastolic Dysfunction. [ 50,51,52,53,54].
Impact of concentric LVH:
Severe LVH is always a risk for alterations in diastolic compliance, deterioration of the intrinsic contractile performance of the myocardium, potential myocardial ischemia due to decreased coronary flow reserve, and sub-endocardial ischemia due to reduced blood flow, and potential imbalances in the myocardial oxygen supply and demand relationship.[19] Maintaining adequate preload, and afterload, sinus rhythm, avoiding tachycardia and sympathetic stimulus, and minimizing factors that increase myocardial contractility are crucial for a successful anesthetic outcome. Avoidance of fluid overload and maintaining normovolemia, and appropriate blood pressure control (MAP > 65 mmHg) are essential in LVH with diastolic dysfunction. The hemodynamic goals are like the diastolic dysfunction. [51,55]
Impact of the LV Aneurysm
LV aneurysm can occur due to MI, infective, traumatic, idiopathic or even postpartum. Other causes may predispose to LV aneurysm formation like systemic hypertension, Chagas disease, sarcoidosis and use of steroids, and NSAIDs. [57]
It presents in 30% to 35% of acute transmural MI. The two major risk factors for developing LV aneurysm include total occlusion of the left
anterior descending artery (LAD) and failure to achieve revascularization of the infarct site artery. [58,56] Therefore, this patient most likely developed the LV aneurysm due to non-revascularization of the coronary artery. LV aneurysms with potential complications like angina, heart failure, thromboembolism, and ventricular arrhythmias require specific therapies, including surgical reconstruction, anticoagulation, ablation of arrhythmias, implantable devices, and pharmacological therapy for afterload reduction with ACEI and ARBs.[57] In patients with ventricular aneurysms complicated by ventricular tachycardia, implanted cardioverter-defibrillators may reduce the risk of sudden death. Electrophysiological mapping is critical to determining whether to pursue surgical or percutaneous ablation. [58]
However, surgical intervention in the presented patient for aneurysm and severe MR was denied due to old age and heavy comorbid burden, and despite the severity of the cardiac disability even pharmacological therapy was not used by her to optimize the cardiac functions, and therefore it was a unique challenge for the perioperative care providers.
Patients with LV aneurysms secondary to CAD (85-90%) face increased risks during noncardiac surgery, due to the potential for complications like heart failure, hypotension, arrhythmias, thromboembolism, LCOS, ventricular rupture and cardiac tamponade.[61] Specifically, the risk of perioperative mortality and morbidity is higher in patients similar to those described by us. The concomitant conditions like LV aneurysm, severe MR, LV dysfunctions, and COPD, PAH, AKI, and fluid overloading, surgical or anaesthetic stresses can further increase the perioperative risk of heart failure and arrythmia. Hence, perioperative optimization of cardiac contractility, blood pressure, HR and fluid balance is prime important. Therefore, ECG along with TEE and PAC are the most vital tools for intraoperative monitoring for early detection of cardiac failure, arrhythmias, LCOS, and even MI by detection of newly developed regional wall motion abnormalities (RWMA) and exaggerated diastolic dysfunction and hypokinesia, the early signs of MI. in addition, RWMA scoring systems is validated as a predictor for heart failure and mortality.[59]
The scoring is calculated as follows; normal motion (score 1), Hypokinesia (score 2), Akinesia (score 3), and Dyskinesia (Score 4). The Wall Motion Score Index (WMSI) is calculated for the 17 segments of the left ventricle. The score is calculated by cumulating the number of points (a score for each segment) and dividing this by 17. When all segments move normally, the ratio is 1 (17 divided by 17). In adults, a WMSI >1.7 is indicative of heart failure. [61,60] According to this WMSI score this patient was in heart failure. [63,61] Therefore, availability of the expertise and vigilant perioperative management is crucial to mitigate these risks and ensure the best possible outcome.
Impact of ventricular premature contractions (VPCs):
During surgery, PVCs can also lead to life threatening complications like hemodynamic instability, LV dysfunction, dilated cardiomyopathy, and sustained frequent and multifocal VPCs can result in VT/ VF and sudden death, in patients with underlying structural heart disease like CAD or cardiomyopathy, or valvular heart diseases and so, require urgent clinical attention.[62]
In Patients with frequent VPCs, continuous cardiac monitoring is crucial during surgery to detect and address any changes in heart rhythm or function. In elderly patients with severe cardiac dysfunction like the presented patient the factors like insertion of CVP or PAC, and Hypovolemia, hypoxemia, electrolyte disorders- hypokalaemia, hypomagnesemia, hypercalcemia, and metabolic disorders (acidosis), hypothermia or hyperthermia, tension pneumothorax, tamponade, toxins, drugs, thromboembolism (pulmonary or cardiac) are the major contributing factors to precipitate intraoperative life-threatening arrythmia. This patient also had multiple VPCs and VT during PAC insertion even at a PAC length of 35cm, however, the hemodynamics were stable and sinus rhythm was restored spontaneously on withdrawal of the catheter. [63] During surgery, management of VPCs should focus on addressing underlying causes, suppressing the arrhythmia, and ensuring hemodynamic stability with the use of beta-blockers, CCB (diltiazem, verapamil) and amiodarone. The VPCs rapidly deteriorating into more dangerous arrhythmias might require cardioversion. [64,65]
Impact of Acute Kidney Injury (AKI):
Renal dysfunction in the setting of heart failure is termed as a cardio-renal syndrome (CRS). AKI is significantly more common in patients with LV or biventricular dysfunctions because of low CO leading to decreased renal blood flow and so GFR or even increasing pressures in the renal veins causing congestion. [56,60] The incidence rate of AKI in acute HF and chronic HF is around 36% (95% CI: 31–40%) and 30% (95% CI: 24–35%), respectively.[67]
AKI following surgery is defined by an increase of ≥ 0.3 mg/dl in serum creatinine within 48 h of ICU admission, an increase of ≥ 50% within 7 days of ICU admission, or requiring acute dialysis, in keeping with the kidney disease improving global outcomes guidelines KDIGO.[68,69] AKI during non-cardiac surgery can be triggered by Preexisting kidney disease, old age, diabetes, heart failure, hypertension, hypotension, hypovolemia, blood transfusion, long duration of surgery, particularly emergency procedures and those involving the abdomen or chest, and sepsis, vasoplegic syndrome, inflammation, increased intraabdominal pressure, anaemia, and nephrotoxic agents like NSAIDS, ACEi and ARBs can also contribute to perioperative AKI.[70] In addition, obesity, liver and respiratory diseases can increase the risk of AKI. AKI following major non-cardiac surgery has consistently been associated with substantial long-term morbidity and mortality. [71,72]
Presently, common practice is to discontinue the use of ACEI and ARBs before surgery to avoid perioperative hypotension and so reduce the risk of perioperative AKI. The focus should be on ensuring euvolaemia prior to the surgery. The guidelines suggesting CO monitoring to optimize cardiac stroke volume and/or increase global oxygen delivery, and avoiding hypotension, is known as goal-directed therapy. A Cochrane review and meta-analysis have suggested that goal-directed therapy can reduce the risk of perioperative AKI.[73] The goal-directed therapy was also adopted during the management of this patient including TEE and PAC, invasive arterial blood pressure monitoring for continuous assessment and optimization of biventricular functions, and MAP> 65mmHg, and urine output along with the serial arterial blood gas analysis.[74,75] Caution is advised when using starch-based colloids and 0.9% saline compared to the balanced crystalloids.[78] One RCT has reported no significant difference in a composite outcome of death or postoperative complications within 14 days of major abdominal surgery between patients who received low-molecular-weight hydroxyethyl starch compared with those who received 0.9% saline.[76,77] The consensus is to use of goal-directed haemodynamic therapy in high-risk patients to optimize volume status, blood pressure and CO to reduce the risk of PO-AKI.[78] finally, the authors believe that an integrated approach for such patients with heavy comorbidities for perioperative-AKI management requires proper evaluations of AKI risk, diagnosis, progress and outcomes throughout the perioperative period, which can be achieved by intensive monitoring, maintaining CO and tissue perfusion, and avoiding LCOS, MI, CHF and malignant arrythmia and respiratory failure.
Impact of Chronic Obstructive Pulmonary Disease (COPD):
Worldwide the most common cause of COPD is cigarette smoking. Smoking cessation has been shown to reduce the deterioration of lung function, and maximum benefit is obtained if smoking is stopped at least 8 weeks before surgery. The mainstay of treatment of COPD is bronchodilation both for maintenance and for exacerbations. Both β-agonists and anticholinergics (ipratropium bromide and tiotropium bromide) are used, and long-term inhaled steroids are usually only indicated in patients with severe COPD and repeated exacerbations. Unfortunately, this patient was not on any bronchodilator therapy and continued with smoking until one day before surgery, and even unsuitable to perform breath holding time or PFT due to severe cardiac disability, so, potential for increased risk of bronchospasm during laryngoscopy and intubation or during emergence from the anaesthesia. COPD patients tolerate a significant degree of chronic hypoxia and often chronic hypercapnia. These patients are commonly very oxygen-sensitive and can rapidly develop type II respiratory failure if given too much supplemental oxygen
During administering the GA, the use of lung-protective ventilation strategies is crucial to prevent complications like hyperinflation and pneumothorax. It includes lower tidal volumes(6-8 ml/kg), I:E ratio (typically to 1:3–1:5) for maximum exhalation, appropriate Positive End-Expiratory Pressure (PEEP), and limiting inspiratory pressures.[71,78] These patients are always at risk of haemodynamic compromise on induction of anaesthesia and initiation of IPPV and therefore, Placement of an arterial catheter should be considered for monitoring of beat-to-beat BP and serial ABG. The existence of cor pulmonale may require aggressive diuresis to reduce peripheral oedema, but peripheral oedema may be present due to heart failure from Severe MR, systolic/ diastolic dysfunction and LV aneurysm and should be managed accordingly. Inhaled therapy provides the mainstay of day-to-day treatment and the nebulization with budecort (0.5 mg) and dexmedetomidine(0.5mcg/kg) should be performed before administering the GA as a prophylaxis against the bronchospasm. [80,81]
Before extubation, bronchodilator treatment may be helpful. Extubation of the high-risk patient directly to non-invasive ventilation may reduce the work of breathing and air trapping and has been shown to reduce the need for reintubation in the postoperative period after major non-cardiac surgery. [84] one should be aware of the fact that reversal of neuromuscular block with neostigmine in patients with sensitive airways can precipitate the bronchospasm, even reports are available on bronchospasm that developed immediately after sugammadex administration. [82]
Anaesthetic considerations for spine surgery:
Despite the various anaesthesia techniques available, spine surgery is a challenge in view of the prone position, significant blood loss, long duration of procedure, old age, associated comorbidity and complex postoperative pain management.
These patients are potentially difficult airway candidates, particularly for cervical spine procedures. This patient with a severe cardio-respiratory disability was also at risk of Physiologically Difficult Airway which places her at higher risk of cardiovascular collapse and arrest during or immediately after airway approach and conversion to positive pressure ventilation despite the first attempt success. [8,9] These patients might already be in decreased motor or sensory functions as the presented patient also had reduced motor power (2/5) in the lower limbs. During Spine surgery, excessive blood loss is expected as most of the patients are on anticoagulants. So, measures should be taken to minimize the blood loss by surgical positioning, reduce intra-abdominal pressure, electrocautery, topical hemostatic agents(bone wax, collagen foam), attaining a controlled hypotension (MAP 70-80 mmHg), use of antifibrinolytics like tranexamic acid (20mg/kg boluses), Epsilon amino caproic acid (100mg/kg), and infusion of fresh frozen plasma, platelets, cryoprecipitates, fibrinogen, desmopressin( 0.3 μg/kg) intravenously, or even recombinant activated factor VII (rFVIIa) 35-90mcg/kg every 2-6 hrs in the first 48 hrs, until bleeding is controlled in refractory cases.[83,84]
Even, avoidance of hypertension is of prime importance in this patient to avoid LV rupture and increase myocardial oxygen demand and even LV failure and MI. There are issues due to prone position like eye injury, nerve injuries of brachial plexus, and ulnar nerve. Pressure on the abdomen should be avoided to prevent respiratory problems, increase in venous pressure including epidural veins that may be the culprit for excessive bleeding or even decreased CO due to IVC compression. [10] Use of CVP/PAC line provides an additional route of intravenous infusions and to remove the air from the RA or RV, if a significant air embolism occurs during spine surgery. Anaesthesia technique specifically employed for the multiple cardiac lesions is also appropriate for spine surgery. However, somatosensory evoked potentials (SSEP) and motor evoked potentials (MEP) should be assessed as spinal cord monitoring, and spinal cord is at risk if the amplitude of SEEP is decreased to <50>65 mmHg.[86] So, it guides the administration of inotrope (Dobutamine, milrinone, epinephrine, levosimendan) or vasopressors (phenylephrine, norepinephrine, vasopressin ) or fluid therapy. However, practical trends of these data have more value than the single value. Patients with pre-existing severe cardiac dysfunctions, PAH, cardiogenic shock, LCOS, and liver and renal failure may benefit from PAC monitoring and its utility to assess the effectiveness of the instituted therapy e.g. inotropes, vasopressors, fluid or even IABP. Likely, the PAC was also utilized for the monitoring and hemodynamic management of the presented patient.
A Multimodal Approach should be adopted for postoperative pain control to minimize opioid use and reduce side effects; including local infiltration of bupivacaine/ ropivacaine at the surgical site, a transcutaneous patch of fentanyl or buprenorphine, systemic analgesics and anti-inflammatory agents like tramadol, PCM, COX-2 specific inhibitors, diclofenac acid, opioids’( fentanyl, morphine, nalorphine) should be used judiciously to avoid the respiratory depression and dexmedetomidine can be used to facilitate the smooth recovery and prophylaxis against nausea and vomiting, as well as nebulization (0.5mcg/kg) to prevent bronchospasm during intubation and should also be included in the protocol for the management of such patients. Even drugs like gabapentin or pregabalin and antidepressants have been used to manage neuropathic pain or enhance the effects of other analgesics. [94,95] extra care should be taken as the use of NSAIDs can exacerbate existing kidney or liver problems.
The guidelines for the perioperative management of elderly with severe cardiac disability including LV aneurysm, IMR, systolic dysfunctions and PAH, along with AKI and COPD are lacking. However, such a patient can be safely managed with multidisciplinary approach, being hypervigilant, using balanced anaesthesia technique along with vasoactive agents to optimize cardiac functions. The presence of the expertise has a crucial role in optimizing the hemodynamic and to perform and interpret the parameters obtained from the advanced monitoring like PAC, TEE, and even of critical arrhythmia on ECG monitoring. The perioperative focus is to avoid complications like physiological difficult airway, deterioration of AKI, MR, PAH, CHF, malignant arrythmias, LCOS, LV rupture, VF and sudden death.
Clearly Auctoresonline and particularly Psychology and Mental Health Care Journal is dedicated to improving health care services for individuals and populations. The editorial boards' ability to efficiently recognize and share the global importance of health literacy with a variety of stakeholders. Auctoresonline publishing platform can be used to facilitate of optimal client-based services and should be added to health care professionals' repertoire of evidence-based health care resources.
Journal of Clinical Cardiology and Cardiovascular Intervention The submission and review process was adequate. However I think that the publication total value should have been enlightened in early fases. Thank you for all.
Journal of Women Health Care and Issues By the present mail, I want to say thank to you and tour colleagues for facilitating my published article. Specially thank you for the peer review process, support from the editorial office. I appreciate positively the quality of your journal.
Journal of Clinical Research and Reports I would be very delighted to submit my testimonial regarding the reviewer board and the editorial office. The reviewer board were accurate and helpful regarding any modifications for my manuscript. And the editorial office were very helpful and supportive in contacting and monitoring with any update and offering help. It was my pleasure to contribute with your promising Journal and I am looking forward for more collaboration.
We would like to thank the Journal of Thoracic Disease and Cardiothoracic Surgery because of the services they provided us for our articles. The peer-review process was done in a very excellent time manner, and the opinions of the reviewers helped us to improve our manuscript further. The editorial office had an outstanding correspondence with us and guided us in many ways. During a hard time of the pandemic that is affecting every one of us tremendously, the editorial office helped us make everything easier for publishing scientific work. Hope for a more scientific relationship with your Journal.
The peer-review process which consisted high quality queries on the paper. I did answer six reviewers’ questions and comments before the paper was accepted. The support from the editorial office is excellent.
Journal of Neuroscience and Neurological Surgery. I had the experience of publishing a research article recently. The whole process was simple from submission to publication. The reviewers made specific and valuable recommendations and corrections that improved the quality of my publication. I strongly recommend this Journal.
Dr. Katarzyna Byczkowska My testimonial covering: "The peer review process is quick and effective. The support from the editorial office is very professional and friendly. Quality of the Clinical Cardiology and Cardiovascular Interventions is scientific and publishes ground-breaking research on cardiology that is useful for other professionals in the field.
Thank you most sincerely, with regard to the support you have given in relation to the reviewing process and the processing of my article entitled "Large Cell Neuroendocrine Carcinoma of The Prostate Gland: A Review and Update" for publication in your esteemed Journal, Journal of Cancer Research and Cellular Therapeutics". The editorial team has been very supportive.
Testimony of Journal of Clinical Otorhinolaryngology: work with your Reviews has been a educational and constructive experience. The editorial office were very helpful and supportive. It was a pleasure to contribute to your Journal.
Dr. Bernard Terkimbi Utoo, I am happy to publish my scientific work in Journal of Women Health Care and Issues (JWHCI). The manuscript submission was seamless and peer review process was top notch. I was amazed that 4 reviewers worked on the manuscript which made it a highly technical, standard and excellent quality paper. I appreciate the format and consideration for the APC as well as the speed of publication. It is my pleasure to continue with this scientific relationship with the esteem JWHCI.
This is an acknowledgment for peer reviewers, editorial board of Journal of Clinical Research and Reports. They show a lot of consideration for us as publishers for our research article “Evaluation of the different factors associated with side effects of COVID-19 vaccination on medical students, Mutah university, Al-Karak, Jordan”, in a very professional and easy way. This journal is one of outstanding medical journal.
Dear Hao Jiang, to Journal of Nutrition and Food Processing We greatly appreciate the efficient, professional and rapid processing of our paper by your team. If there is anything else we should do, please do not hesitate to let us know. On behalf of my co-authors, we would like to express our great appreciation to editor and reviewers.
As an author who has recently published in the journal "Brain and Neurological Disorders". I am delighted to provide a testimonial on the peer review process, editorial office support, and the overall quality of the journal. The peer review process at Brain and Neurological Disorders is rigorous and meticulous, ensuring that only high-quality, evidence-based research is published. The reviewers are experts in their fields, and their comments and suggestions were constructive and helped improve the quality of my manuscript. The review process was timely and efficient, with clear communication from the editorial office at each stage. The support from the editorial office was exceptional throughout the entire process. The editorial staff was responsive, professional, and always willing to help. They provided valuable guidance on formatting, structure, and ethical considerations, making the submission process seamless. Moreover, they kept me informed about the status of my manuscript and provided timely updates, which made the process less stressful. The journal Brain and Neurological Disorders is of the highest quality, with a strong focus on publishing cutting-edge research in the field of neurology. The articles published in this journal are well-researched, rigorously peer-reviewed, and written by experts in the field. The journal maintains high standards, ensuring that readers are provided with the most up-to-date and reliable information on brain and neurological disorders. In conclusion, I had a wonderful experience publishing in Brain and Neurological Disorders. The peer review process was thorough, the editorial office provided exceptional support, and the journal's quality is second to none. I would highly recommend this journal to any researcher working in the field of neurology and brain disorders.
Dear Agrippa Hilda, Journal of Neuroscience and Neurological Surgery, Editorial Coordinator, I trust this message finds you well. I want to extend my appreciation for considering my article for publication in your esteemed journal. I am pleased to provide a testimonial regarding the peer review process and the support received from your editorial office. The peer review process for my paper was carried out in a highly professional and thorough manner. The feedback and comments provided by the authors were constructive and very useful in improving the quality of the manuscript. This rigorous assessment process undoubtedly contributes to the high standards maintained by your journal.
International Journal of Clinical Case Reports and Reviews. I strongly recommend to consider submitting your work to this high-quality journal. The support and availability of the Editorial staff is outstanding and the review process was both efficient and rigorous.
Thank you very much for publishing my Research Article titled “Comparing Treatment Outcome Of Allergic Rhinitis Patients After Using Fluticasone Nasal Spray And Nasal Douching" in the Journal of Clinical Otorhinolaryngology. As Medical Professionals we are immensely benefited from study of various informative Articles and Papers published in this high quality Journal. I look forward to enriching my knowledge by regular study of the Journal and contribute my future work in the field of ENT through the Journal for use by the medical fraternity. The support from the Editorial office was excellent and very prompt. I also welcome the comments received from the readers of my Research Article.
Dear Erica Kelsey, Editorial Coordinator of Cancer Research and Cellular Therapeutics Our team is very satisfied with the processing of our paper by your journal. That was fast, efficient, rigorous, but without unnecessary complications. We appreciated the very short time between the submission of the paper and its publication on line on your site.
I am very glad to say that the peer review process is very successful and fast and support from the Editorial Office. Therefore, I would like to continue our scientific relationship for a long time. And I especially thank you for your kindly attention towards my article. Have a good day!
"We recently published an article entitled “Influence of beta-Cyclodextrins upon the Degradation of Carbofuran Derivatives under Alkaline Conditions" in the Journal of “Pesticides and Biofertilizers” to show that the cyclodextrins protect the carbamates increasing their half-life time in the presence of basic conditions This will be very helpful to understand carbofuran behaviour in the analytical, agro-environmental and food areas. We greatly appreciated the interaction with the editor and the editorial team; we were particularly well accompanied during the course of the revision process, since all various steps towards publication were short and without delay".
I would like to express my gratitude towards you process of article review and submission. I found this to be very fair and expedient. Your follow up has been excellent. I have many publications in national and international journal and your process has been one of the best so far. Keep up the great work.
We are grateful for this opportunity to provide a glowing recommendation to the Journal of Psychiatry and Psychotherapy. We found that the editorial team were very supportive, helpful, kept us abreast of timelines and over all very professional in nature. The peer review process was rigorous, efficient and constructive that really enhanced our article submission. The experience with this journal remains one of our best ever and we look forward to providing future submissions in the near future.
I am very pleased to serve as EBM of the journal, I hope many years of my experience in stem cells can help the journal from one way or another. As we know, stem cells hold great potential for regenerative medicine, which are mostly used to promote the repair response of diseased, dysfunctional or injured tissue using stem cells or their derivatives. I think Stem Cell Research and Therapeutics International is a great platform to publish and share the understanding towards the biology and translational or clinical application of stem cells.
I would like to give my testimony in the support I have got by the peer review process and to support the editorial office where they were of asset to support young author like me to be encouraged to publish their work in your respected journal and globalize and share knowledge across the globe. I really give my great gratitude to your journal and the peer review including the editorial office.
I am delighted to publish our manuscript entitled "A Perspective on Cocaine Induced Stroke - Its Mechanisms and Management" in the Journal of Neuroscience and Neurological Surgery. The peer review process, support from the editorial office, and quality of the journal are excellent. The manuscripts published are of high quality and of excellent scientific value. I recommend this journal very much to colleagues.
Dr.Tania Muñoz, My experience as researcher and author of a review article in The Journal Clinical Cardiology and Interventions has been very enriching and stimulating. The editorial team is excellent, performs its work with absolute responsibility and delivery. They are proactive, dynamic and receptive to all proposals. Supporting at all times the vast universe of authors who choose them as an option for publication. The team of review specialists, members of the editorial board, are brilliant professionals, with remarkable performance in medical research and scientific methodology. Together they form a frontline team that consolidates the JCCI as a magnificent option for the publication and review of high-level medical articles and broad collective interest. I am honored to be able to share my review article and open to receive all your comments.
“The peer review process of JPMHC is quick and effective. Authors are benefited by good and professional reviewers with huge experience in the field of psychology and mental health. The support from the editorial office is very professional. People to contact to are friendly and happy to help and assist any query authors might have. Quality of the Journal is scientific and publishes ground-breaking research on mental health that is useful for other professionals in the field”.
Dear editorial department: On behalf of our team, I hereby certify the reliability and superiority of the International Journal of Clinical Case Reports and Reviews in the peer review process, editorial support, and journal quality. Firstly, the peer review process of the International Journal of Clinical Case Reports and Reviews is rigorous, fair, transparent, fast, and of high quality. The editorial department invites experts from relevant fields as anonymous reviewers to review all submitted manuscripts. These experts have rich academic backgrounds and experience, and can accurately evaluate the academic quality, originality, and suitability of manuscripts. The editorial department is committed to ensuring the rigor of the peer review process, while also making every effort to ensure a fast review cycle to meet the needs of authors and the academic community. Secondly, the editorial team of the International Journal of Clinical Case Reports and Reviews is composed of a group of senior scholars and professionals with rich experience and professional knowledge in related fields. The editorial department is committed to assisting authors in improving their manuscripts, ensuring their academic accuracy, clarity, and completeness. Editors actively collaborate with authors, providing useful suggestions and feedback to promote the improvement and development of the manuscript. We believe that the support of the editorial department is one of the key factors in ensuring the quality of the journal. Finally, the International Journal of Clinical Case Reports and Reviews is renowned for its high- quality articles and strict academic standards. The editorial department is committed to publishing innovative and academically valuable research results to promote the development and progress of related fields. The International Journal of Clinical Case Reports and Reviews is reasonably priced and ensures excellent service and quality ratio, allowing authors to obtain high-level academic publishing opportunities in an affordable manner. I hereby solemnly declare that the International Journal of Clinical Case Reports and Reviews has a high level of credibility and superiority in terms of peer review process, editorial support, reasonable fees, and journal quality. Sincerely, Rui Tao.
Clinical Cardiology and Cardiovascular Interventions I testity the covering of the peer review process, support from the editorial office, and quality of the journal.
Clinical Cardiology and Cardiovascular Interventions, we deeply appreciate the interest shown in our work and its publication. It has been a true pleasure to collaborate with you. The peer review process, as well as the support provided by the editorial office, have been exceptional, and the quality of the journal is very high, which was a determining factor in our decision to publish with you.
The peer reviewers process is quick and effective, the supports from editorial office is excellent, the quality of journal is high. I would like to collabroate with Internatioanl journal of Clinical Case Reports and Reviews journal clinically in the future time.
Clinical Cardiology and Cardiovascular Interventions, I would like to express my sincerest gratitude for the trust placed in our team for the publication in your journal. It has been a true pleasure to collaborate with you on this project. I am pleased to inform you that both the peer review process and the attention from the editorial coordination have been excellent. Your team has worked with dedication and professionalism to ensure that your publication meets the highest standards of quality. We are confident that this collaboration will result in mutual success, and we are eager to see the fruits of this shared effort.
Dear Dr. Jessica Magne, Editorial Coordinator 0f Clinical Cardiology and Cardiovascular Interventions, I hope this message finds you well. I want to express my utmost gratitude for your excellent work and for the dedication and speed in the publication process of my article titled "Navigating Innovation: Qualitative Insights on Using Technology for Health Education in Acute Coronary Syndrome Patients." I am very satisfied with the peer review process, the support from the editorial office, and the quality of the journal. I hope we can maintain our scientific relationship in the long term.
Dear Monica Gissare, - Editorial Coordinator of Nutrition and Food Processing. ¨My testimony with you is truly professional, with a positive response regarding the follow-up of the article and its review, you took into account my qualities and the importance of the topic¨.
Dear Dr. Jessica Magne, Editorial Coordinator 0f Clinical Cardiology and Cardiovascular Interventions, The review process for the article “The Handling of Anti-aggregants and Anticoagulants in the Oncologic Heart Patient Submitted to Surgery” was extremely rigorous and detailed. From the initial submission to the final acceptance, the editorial team at the “Journal of Clinical Cardiology and Cardiovascular Interventions” demonstrated a high level of professionalism and dedication. The reviewers provided constructive and detailed feedback, which was essential for improving the quality of our work. Communication was always clear and efficient, ensuring that all our questions were promptly addressed. The quality of the “Journal of Clinical Cardiology and Cardiovascular Interventions” is undeniable. It is a peer-reviewed, open-access publication dedicated exclusively to disseminating high-quality research in the field of clinical cardiology and cardiovascular interventions. The journal's impact factor is currently under evaluation, and it is indexed in reputable databases, which further reinforces its credibility and relevance in the scientific field. I highly recommend this journal to researchers looking for a reputable platform to publish their studies.
Dear Editorial Coordinator of the Journal of Nutrition and Food Processing! "I would like to thank the Journal of Nutrition and Food Processing for including and publishing my article. The peer review process was very quick, movement and precise. The Editorial Board has done an extremely conscientious job with much help, valuable comments and advices. I find the journal very valuable from a professional point of view, thank you very much for allowing me to be part of it and I would like to participate in the future!”
Dealing with The Journal of Neurology and Neurological Surgery was very smooth and comprehensive. The office staff took time to address my needs and the response from editors and the office was prompt and fair. I certainly hope to publish with this journal again.Their professionalism is apparent and more than satisfactory. Susan Weiner
My Testimonial Covering as fellowing: Lin-Show Chin. The peer reviewers process is quick and effective, the supports from editorial office is excellent, the quality of journal is high. I would like to collabroate with Internatioanl journal of Clinical Case Reports and Reviews.
My experience publishing in Psychology and Mental Health Care was exceptional. The peer review process was rigorous and constructive, with reviewers providing valuable insights that helped enhance the quality of our work. The editorial team was highly supportive and responsive, making the submission process smooth and efficient. The journal's commitment to high standards and academic rigor makes it a respected platform for quality research. I am grateful for the opportunity to publish in such a reputable journal.
My experience publishing in International Journal of Clinical Case Reports and Reviews was exceptional. I Come forth to Provide a Testimonial Covering the Peer Review Process and the editorial office for the Professional and Impartial Evaluation of the Manuscript.
I would like to offer my testimony in the support. I have received through the peer review process and support the editorial office where they are to support young authors like me, encourage them to publish their work in your esteemed journals, and globalize and share knowledge globally. I really appreciate your journal, peer review, and editorial office.
Dear Agrippa Hilda- Editorial Coordinator of Journal of Neuroscience and Neurological Surgery, "The peer review process was very quick and of high quality, which can also be seen in the articles in the journal. The collaboration with the editorial office was very good."
I would like to express my sincere gratitude for the support and efficiency provided by the editorial office throughout the publication process of my article, “Delayed Vulvar Metastases from Rectal Carcinoma: A Case Report.” I greatly appreciate the assistance and guidance I received from your team, which made the entire process smooth and efficient. The peer review process was thorough and constructive, contributing to the overall quality of the final article. I am very grateful for the high level of professionalism and commitment shown by the editorial staff, and I look forward to maintaining a long-term collaboration with the International Journal of Clinical Case Reports and Reviews.
To Dear Erin Aust, I would like to express my heartfelt appreciation for the opportunity to have my work published in this esteemed journal. The entire publication process was smooth and well-organized, and I am extremely satisfied with the final result. The Editorial Team demonstrated the utmost professionalism, providing prompt and insightful feedback throughout the review process. Their clear communication and constructive suggestions were invaluable in enhancing my manuscript, and their meticulous attention to detail and dedication to quality are truly commendable. Additionally, the support from the Editorial Office was exceptional. From the initial submission to the final publication, I was guided through every step of the process with great care and professionalism. The team's responsiveness and assistance made the entire experience both easy and stress-free. I am also deeply impressed by the quality and reputation of the journal. It is an honor to have my research featured in such a respected publication, and I am confident that it will make a meaningful contribution to the field.
"I am grateful for the opportunity of contributing to [International Journal of Clinical Case Reports and Reviews] and for the rigorous review process that enhances the quality of research published in your esteemed journal. I sincerely appreciate the time and effort of your team who have dedicatedly helped me in improvising changes and modifying my manuscript. The insightful comments and constructive feedback provided have been invaluable in refining and strengthening my work".
I thank the ‘Journal of Clinical Research and Reports’ for accepting this article for publication. This is a rigorously peer reviewed journal which is on all major global scientific data bases. I note the review process was prompt, thorough and professionally critical. It gave us an insight into a number of important scientific/statistical issues. The review prompted us to review the relevant literature again and look at the limitations of the study. The peer reviewers were open, clear in the instructions and the editorial team was very prompt in their communication. This journal certainly publishes quality research articles. I would recommend the journal for any future publications.
Dear Jessica Magne, with gratitude for the joint work. Fast process of receiving and processing the submitted scientific materials in “Clinical Cardiology and Cardiovascular Interventions”. High level of competence of the editors with clear and correct recommendations and ideas for enriching the article.
We found the peer review process quick and positive in its input. The support from the editorial officer has been very agile, always with the intention of improving the article and taking into account our subsequent corrections.
My article, titled 'No Way Out of the Smartphone Epidemic Without Considering the Insights of Brain Research,' has been republished in the International Journal of Clinical Case Reports and Reviews. The review process was seamless and professional, with the editors being both friendly and supportive. I am deeply grateful for their efforts.
To Dear Erin Aust – Editorial Coordinator of Journal of General Medicine and Clinical Practice! I declare that I am absolutely satisfied with your work carried out with great competence in following the manuscript during the various stages from its receipt, during the revision process to the final acceptance for publication. Thank Prof. Elvira Farina
Dear Jessica, and the super professional team of the ‘Clinical Cardiology and Cardiovascular Interventions’ I am sincerely grateful to the coordinated work of the journal team for the no problem with the submission of my manuscript: “Cardiometabolic Disorders in A Pregnant Woman with Severe Preeclampsia on the Background of Morbid Obesity (Case Report).” The review process by 5 experts was fast, and the comments were professional, which made it more specific and academic, and the process of publication and presentation of the article was excellent. I recommend that my colleagues publish articles in this journal, and I am interested in further scientific cooperation. Sincerely and best wishes, Dr. Oleg Golyanovskiy.
Dear Ashley Rosa, Editorial Coordinator of the journal - Psychology and Mental Health Care. " The process of obtaining publication of my article in the Psychology and Mental Health Journal was positive in all areas. The peer review process resulted in a number of valuable comments, the editorial process was collaborative and timely, and the quality of this journal has been quickly noticed, resulting in alternative journals contacting me to publish with them." Warm regards, Susan Anne Smith, PhD. Australian Breastfeeding Association.
Dear Jessica Magne, Editorial Coordinator, Clinical Cardiology and Cardiovascular Interventions, Auctores Publishing LLC. I appreciate the journal (JCCI) editorial office support, the entire team leads were always ready to help, not only on technical front but also on thorough process. Also, I should thank dear reviewers’ attention to detail and creative approach to teach me and bring new insights by their comments. Surely, more discussions and introduction of other hemodynamic devices would provide better prevention and management of shock states. Your efforts and dedication in presenting educational materials in this journal are commendable. Best wishes from, Farahnaz Fallahian.
Dear Maria Emerson, Editorial Coordinator, International Journal of Clinical Case Reports and Reviews, Auctores Publishing LLC. I am delighted to have published our manuscript, "Acute Colonic Pseudo-Obstruction (ACPO): A rare but serious complication following caesarean section." I want to thank the editorial team, especially Maria Emerson, for their prompt review of the manuscript, quick responses to queries, and overall support. Yours sincerely Dr. Victor Olagundoye.
Dear Ashley Rosa, Editorial Coordinator, International Journal of Clinical Case Reports and Reviews. Many thanks for publishing this manuscript after I lost confidence the editors were most helpful, more than other journals Best wishes from, Susan Anne Smith, PhD. Australian Breastfeeding Association.
Dear Agrippa Hilda, Editorial Coordinator, Journal of Neuroscience and Neurological Surgery. The entire process including article submission, review, revision, and publication was extremely easy. The journal editor was prompt and helpful, and the reviewers contributed to the quality of the paper. Thank you so much! Eric Nussbaum, MD
Dr Hala Al Shaikh This is to acknowledge that the peer review process for the article ’ A Novel Gnrh1 Gene Mutation in Four Omani Male Siblings, Presentation and Management ’ sent to the International Journal of Clinical Case Reports and Reviews was quick and smooth. The editorial office was prompt with easy communication.
Dear Erin Aust, Editorial Coordinator, Journal of General Medicine and Clinical Practice. We are pleased to share our experience with the “Journal of General Medicine and Clinical Practice”, following the successful publication of our article. The peer review process was thorough and constructive, helping to improve the clarity and quality of the manuscript. We are especially thankful to Ms. Erin Aust, the Editorial Coordinator, for her prompt communication and continuous support throughout the process. Her professionalism ensured a smooth and efficient publication experience. The journal upholds high editorial standards, and we highly recommend it to fellow researchers seeking a credible platform for their work. Best wishes By, Dr. Rakhi Mishra.
Dear Jessica Magne, Editorial Coordinator, Clinical Cardiology and Cardiovascular Interventions, Auctores Publishing LLC. The peer review process of the journal of Clinical Cardiology and Cardiovascular Interventions was excellent and fast, as was the support of the editorial office and the quality of the journal. Kind regards Walter F. Riesen Prof. Dr. Dr. h.c. Walter F. Riesen.
Dear Ashley Rosa, Editorial Coordinator, International Journal of Clinical Case Reports and Reviews, Auctores Publishing LLC. Thank you for publishing our article, Exploring Clozapine's Efficacy in Managing Aggression: A Multiple Single-Case Study in Forensic Psychiatry in the international journal of clinical case reports and reviews. We found the peer review process very professional and efficient. The comments were constructive, and the whole process was efficient. On behalf of the co-authors, I would like to thank you for publishing this article. With regards, Dr. Jelle R. Lettinga.
Dear Clarissa Eric, Editorial Coordinator, Journal of Clinical Case Reports and Studies, I would like to express my deep admiration for the exceptional professionalism demonstrated by your journal. I am thoroughly impressed by the speed of the editorial process, the substantive and insightful reviews, and the meticulous preparation of the manuscript for publication. Additionally, I greatly appreciate the courteous and immediate responses from your editorial office to all my inquiries. Best Regards, Dariusz Ziora
Dear Chrystine Mejia, Editorial Coordinator, Journal of Neurodegeneration and Neurorehabilitation, Auctores Publishing LLC, We would like to thank the editorial team for the smooth and high-quality communication leading up to the publication of our article in the Journal of Neurodegeneration and Neurorehabilitation. The reviewers have extensive knowledge in the field, and their relevant questions helped to add value to our publication. Kind regards, Dr. Ravi Shrivastava.
Dear Clarissa Eric, Editorial Coordinator, Journal of Clinical Case Reports and Studies, Auctores Publishing LLC, USA Office: +1-(302)-520-2644. I would like to express my sincere appreciation for the efficient and professional handling of my case report by the ‘Journal of Clinical Case Reports and Studies’. The peer review process was not only fast but also highly constructive—the reviewers’ comments were clear, relevant, and greatly helped me improve the quality and clarity of my manuscript. I also received excellent support from the editorial office throughout the process. Communication was smooth and timely, and I felt well guided at every stage, from submission to publication. The overall quality and rigor of the journal are truly commendable. I am pleased to have published my work with Journal of Clinical Case Reports and Studies, and I look forward to future opportunities for collaboration. Sincerely, Aline Tollet, UCLouvain.
Dear Ms. Mayra Duenas, Editorial Coordinator, International Journal of Clinical Case Reports and Reviews. “The International Journal of Clinical Case Reports and Reviews represented the “ideal house” to share with the research community a first experience with the use of the Simeox device for speech rehabilitation. High scientific reputation and attractive website communication were first determinants for the selection of this Journal, and the following submission process exceeded expectations: fast but highly professional peer review, great support by the editorial office, elegant graphic layout. Exactly what a dynamic research team - also composed by allied professionals - needs!" From, Chiara Beccaluva, PT - Italy.
Dear Maria Emerson, Editorial Coordinator, we have deeply appreciated the professionalism demonstrated by the International Journal of Clinical Case Reports and Reviews. The reviewers have extensive knowledge of our field and have been very efficient and fast in supporting the process. I am really looking forward to further collaboration. Thanks. Best regards, Dr. Claudio Ligresti
Dear Chrystine Mejia, Editorial Coordinator, Journal of Neurodegeneration and Neurorehabilitation. “The peer review process was efficient and constructive, and the editorial office provided excellent communication and support throughout. The journal ensures scientific rigor and high editorial standards, while also offering a smooth and timely publication process. We sincerely appreciate the work of the editorial team in facilitating the dissemination of innovative approaches such as the Bonori Method.” Best regards, Dr. Matteo Bonori.
I recommend without hesitation submitting relevant papers on medical decision making to the International Journal of Clinical Case Reports and Reviews. I am very grateful to the editorial staff. Maria Emerson was a pleasure to communicate with. The time from submission to publication was an extremely short 3 weeks. The editorial staff submitted the paper to three reviewers. Two of the reviewers commented positively on the value of publishing the paper. The editorial staff quickly recognized the third reviewer’s comments as an unjust attempt to reject the paper. I revised the paper as recommended by the first two reviewers.
Dear Maria Emerson, Editorial Coordinator, Journal of Clinical Research and Reports. Thank you for publishing our case report: "Clinical Case of Effective Fetal Stem Cells Treatment in a Patient with Autism Spectrum Disorder" within the "Journal of Clinical Research and Reports" being submitted by the team of EmCell doctors from Kyiv, Ukraine. We much appreciate a professional and transparent peer-review process from Auctores. All research Doctors are so grateful to your Editorial Office and Auctores Publishing support! I amiably wish our article publication maintained a top quality of your International Scientific Journal. My best wishes for a prosperity of the Journal of Clinical Research and Reports. Hope our scientific relationship and cooperation will remain long lasting. Thank you very much indeed. Kind regards, Dr. Andriy Sinelnyk Cell Therapy Center EmCell
Dear Editorial Team, Clinical Cardiology and Cardiovascular Interventions. It was truly a rewarding experience to work with the journal “Clinical Cardiology and Cardiovascular Interventions”. The peer review process was insightful and encouraging, helping us refine our work to a higher standard. The editorial office offered exceptional support with prompt and thoughtful communication. I highly value the journal’s role in promoting scientific advancement and am honored to be part of it. Best regards, Meng-Jou Lee, MD, Department of Anesthesiology, National Taiwan University Hospital.
Dear Editorial Team, Journal-Clinical Cardiology and Cardiovascular Interventions, “Publishing my article with Clinical Cardiology and Cardiovascular Interventions has been a highly positive experience. The peer-review process was rigorous yet supportive, offering valuable feedback that strengthened my work. The editorial team demonstrated exceptional professionalism, prompt communication, and a genuine commitment to maintaining the highest scientific standards. I am very pleased with the publication quality and proud to be associated with such a reputable journal.” Warm regards, Dr. Mahmoud Kamal Moustafa Ahmed
Dear Maria Emerson, Editorial Coordinator of ‘International Journal of Clinical Case Reports and Reviews’, I appreciate the opportunity to publish my article with your journal. The editorial office provided clear communication during the submission and review process, and I found the overall experience professional and constructive. Best regards, Elena Salvatore.
Dear Mayra Duenas, Editorial Coordinator of ‘International Journal of Clinical Case Reports and Reviews Herewith I confirm an optimal peer review process and a great support of the editorial office of the present journal
Dear Editorial Team, Clinical Cardiology and Cardiovascular Interventions. I am really grateful for the peers review; their feedback gave me the opportunity to reflect on the message and impact of my work and to ameliorate the article. The editors did a great job in addition by encouraging me to continue with the process of publishing.
Dear Cecilia Lilly, Editorial Coordinator, Endocrinology and Disorders, Thank you so much for your quick response regarding reviewing and all process till publishing our manuscript entitled: Prevalence of Pre-Diabetes and its Associated Risk Factors Among Nile College Students, Sudan. Best regards, Dr Mamoun Magzoub.
International Journal of Clinical Case Reports and Reviews is a high quality journal that has a clear and concise submission process. The peer review process was comprehensive and constructive. Support from the editorial office was excellent, since the administrative staff were responsive. The journal provides a fast and timely publication timeline.
Dear Maria Emerson, Editorial Coordinator of International Journal of Clinical Case Reports and Reviews, What distinguishes International Journal of Clinical Case Report and Review is not only the scientific rigor of its publications, but the intellectual climate in which research is evaluated. The submission process is refreshingly free of unnecessary formal barriers and bureaucratic rituals that often complicate academic publishing without adding real value. The peer-review system is demanding yet constructive, guided by genuine scientific dialogue rather than hierarchical or authoritarian attitudes. Reviewers act as collaborators in improving the manuscript, not as gatekeepers imposing arbitrary standards. This journal offers a rare balance: high methodological standards combined with a respectful, transparent, and supportive editorial approach. In an era where publishing can feel more burdensome than research itself, this platform restores the original purpose of peer review — to refine ideas, not to obstruct them Prof. Perlat Kapisyzi, FCCP PULMONOLOGIST AND THORACIC IMAGING.
Dear Mayra Duenas, Editorial Coordinator of the journal IJCCR, I write here a little on my experience as an author submitting to the International Journal of Clinical Case Reports and Reviews (IJCCR). This was my first submission to IJCCR and my manuscript was inherently an outsider’s effort. It attempted to broadly identify and then make some sense of life’s under-appreciated mysteries. I initially had responded to a request for possible submissions. I then contacted IJCCR with a tentative topic for a manuscript. They quickly got back with an approval for the submission, but with a particular requirement that it be medically relevant. I then put together a manuscript and submitted it. After the usual back-and-forth over forms and formality, the manuscript was sent off for reviews. Within 2 weeks I got back 4 reviews which were both helpful and also surprising. Surprising in that the topic was somewhat foreign to medical literature. My subsequent updates in response to the reviewer comments went smoothly and in short order I had a series of proofs to evaluate. All in all, the whole publication process seemed outstanding. It was both helpful in terms of the paper’s content and also in terms of its efficient and friendly communications. Thank you all very much. Sincerely, Ted Christopher, Rochester, NY.
Dear Grace Pierce, Editorial Coordinator of the journal IJCCR, I had a very positive experience with Auctores - Journal throughout the publication process. The Editorial Team was highly responsive, professional, and supportive at every stage. I would like to extend my sincere thanks to the Editor: Grace Pierce, for her guidance and assistance. The peer-review process was smooth and constructive, helping improve the quality of my work. I would gladly recommend Auctores Journal to fellow researchers and authors. Dr. SABITA SINHA, Medical Oncologist, MD (Electro Homeopathy).
Dear Maria Emerson, Editorial Coordinator of - Journal of Clinical Research and Reports. ''I am pleased to provide this testimonial following the publication of our recent case report in this journal. The peer review process was rigorous, constructive, thorough, and conducted in a timely manner. The reviewers’ comments were thoughtful, detailed, and highly constructive, contributing substantially to the refinement, clarity, and scientific robustness of our manuscript. The process was conducted with professionalism and academic integrity throughout. The support provided by the editorial office was exemplary. Communication was consistently prompt, clear, and courteous at all stages of the submission and publication process. The editorial team demonstrated a high level of organization and responsiveness, ensuring that all queries were addressed efficiently and that the process remained transparent and well-coordinated. The overall quality of the journal is reflected in its strong editorial standards, commitment to scientific excellence, and dedication to publishing clinically meaningful research. It has been a privilege to publish our work in this journal, and we would welcome the opportunity to contribute further in the future.'' Best wishes from, Dr. Efstratios Trogkanis, Cardiologist.
Dear Reader: We have published several articles in the Auctores Publishing, LLC, journal, Clinical Medical Reviews and Reports in recent years (CMRR). This is an ‘open access’ journal and the following are our observations. From the initial invitation to submit an article, to the final edits of galley proofs, we have found CMRR personnel to be professional, responsive, rapid and thorough. This entire process begins with Catherine Mitchell, Editorial Coordinator. She is simply outstanding, and, I believe, unparalleled in her capacity. I cannot imagine a more responsive and dedicated Editorial Coordinator. As I read the dates and timing of her correspondence with us, it seems that she never sleeps. I hope Auctores Publishing, LLC, appreciates her efforts as much as these authors do. Thank you to Auctores Publishing, LLC, to the Editorial Staff/Board, and to Catherine Mitchell from a grateful author(s).